• 2025年第5期文章目次
    全 选
    显示方式: |
    • >前沿观点
    • 日常饮食中六溴环十二烷的污染情况及潜在健康风险

      2025, 41(5):1-9. DOI: 10.13652/j.spjx.1003.5788.2025.80171

      摘要 (1171) HTML (81) PDF 64.96 K (185) 评论 (0) 收藏

      摘要:六溴环十二烷(HBCD)是一种溴代阻燃剂,被广泛用于各种工业和消费品的阻燃。由于具有高生物毒性、生物累积性、污染持久性和远距离迁移能力,HBCD已被列入《关于持久性有机污染物的斯德哥尔摩公约》持久性有机污染物(POPs)清单,并在全球范围内逐步淘汰。文章简述了日常饮食中添加型溴系阻燃剂HBCD的污染情况,以及HBCD在体内吸收代谢的特点;综述了生物信息学及体外原代细胞模型、细胞系模型等手段对HBCD暴露毒性的评价情况;比较了HBCD干预对体内斑马鱼模型、小鼠模型、大鼠模型毒理学的影响;并分析了HBCD人群总膳食暴露及母乳暴露的情况。

      • 0+1
    • 基于网络药理学和分子对接探究广佛手成分的降血糖作用机制

      2025, 41(5):10-18. DOI: 10.13652/j.spjx.1003.5788.2024.80880

      摘要 (792) HTML (80) PDF 50.83 K (174) 评论 (0) 收藏

      摘要:目的 基于网络药理学研究广佛手成分降血糖的潜在作用靶点。方法 采用TTD数据库、Drugbank数据库、OMIM数据库和DisGeNET数据库筛选2型糖尿病(T2DM)和高血糖相关基因,借助文献收集广佛手成分,结合Swiss数据库预测其潜在作用靶点。在此基础上,结合STRING数据库筛选关键蛋白,运用Cytoscape 3.7.1软件构建“疾病—活性成分—靶点—通路”关系网络。功能注释方面,进一步通过DAVID 6.8数据库开展基因本体论(GO)功能富集和京都基因与基因组百科全书(KEGG)通路富集分析。最终,通过AutoDock Vina将广佛手成分活性靶点与关键靶点进行分子对接。结果 通过网络药理学筛选得到广佛手成分与疾病靶点交集后得到551个相关靶点,构建“成分—靶点—疾病”网络关系图和疾病蛋白质与蛋白质之间的相互作用网络图得到Degree值排名前10的成分和靶点,通过KEGG富集通路筛选出3条与降血糖相关的信号通路。得到广佛手2个主要与降血糖相关的成分(白当归脑和6,6',7,7'-四甲氧基-3,3'双香豆素),3个相关的靶点(HSP90AA1、PIK3CA、PIK3CD)及相关通路(PI3K-Akt信号通路、胰岛素抵抗和HIF-1信号通路),将得到的靶点与通路进行分子对接,得到白当归脑对接HSP90AA1PIK3CA的结合能分别为-32.6,-34.7 kJ/mol,6',7,7'-四甲氧基-3,3'双香豆素对接PIK3CDPIK3CA的结合能分别为-35.1,-37.6 kJ/mol。结论 推测白当归脑和6,6',7,7'-四甲氧基-3,3'双香豆素为广佛手降血糖的主要成分,其可能通过HSP90AA1、PIK3CA、PIK3CD等靶点作用于PI3K-Akt信号通路、胰岛素抵抗和HIF-1信号通路等生物过程来降低血糖。

      • 0+1
      • 1+1
      • 2+1
      • 3+1
      • 4+1
      • 5+1
      • 6+1
    • >基础研究
    • Fe3O4-SA/CS微球固定菠萝蛋白酶及其酶学性质研究

      2025, 41(5):27-35. DOI: 10.13652/j.spjx.1003.5788.2024.80912

      摘要 (137) HTML (71) PDF 39.59 K (167) 评论 (0) 收藏

      摘要:目的 对稳定性较差的菠萝蛋白酶(Bromelain)进行固定化技术改良,提高其利用率、稳定性和贮藏性。方法 通过响应面法优化磁性壳聚糖/海藻酸钠固定菠萝蛋白酶(Fe3O4-SA/CS-Br)的最佳制备工艺。对Fe3O4-SA/CS-Br进行表征并测定其Km值、操作稳定性、热稳定性、贮藏稳定性及应用效果。结果 Fe3O4-SA/CS-Br的最佳制备条件为m壳聚糖m海藻酸钠为1∶4,Fe3O4质量浓度为10 mg/mL,CaCl2质量浓度为32 mg/mL,固定时间为106 min,pH为7.0,酶质量浓度为1.0 mg/mL。扫描电镜、红外光谱及X衍射光谱结果表明,Bromelain的主要基团被成功固定至Fe3O4-壳聚糖/海藻酸钠(Fe3O4-SA/CS)微球上。经固定化处理后的Bromelain与底物的亲和性增强,提高了稳定性和应用效果。结论 Fe3O4-SA/CS-Br可有效增强Bromelain的稳定性。

      • 0+1
      • 1+1
      • 2+1
      • 3+1
      • 4+1
      • 5+1
    • 基于电子鼻和电子舌的电子束辐照对浓香型白酒的催陈效果

      2025, 41(5):36-41. DOI: 10.13652/j.spjx.1003.5788.2024.80694

      摘要 (147) HTML (126) PDF 23.73 K (140) 评论 (0) 收藏

      摘要:目的 明确电子束辐照对浓香型白酒的催陈效果。方法 通过电子鼻和电子舌技术研究0~8 kGy电子束辐照对浓香型白酒新酒气味和滋味的影响,并以1~3年陈酒为对照,分析最优辐照剂量处理后白酒气味和滋味的变化。结果 不同剂量电子束辐照后浓香型白酒新酒在电子鼻和电子舌检测的主成分分析(PCA)均能很好地分离,表明辐照后样品气味和滋味有较大差异,2 kGy电子束辐照为浓香型白酒新酒的最优辐照剂量。贮藏过程中辐照白酒的气味和滋味逐渐向陈酒靠近,贮藏75 d时电子舌PCA分布辐照白酒与3年陈酒重叠,表明其滋味与3年陈酒相似。结论 电子束辐照对浓香型白酒具有催陈效果。

      • 0+1
      • 1+1
      • 2+1
      • 3+1
      • 4+1
      • 5+1
      • 6+1
      • 7+1
    • 基于油脂不饱和度的辣椒素乳状液的稳定性及感官评价

      2025, 41(5):42-49. DOI: 10.13652/j.spjx.1003.5788.2024.81215

      摘要 (159) HTML (211) PDF 32.86 K (119) 评论 (0) 收藏

      摘要:目的 探究油相不饱和度对辣椒素乳状液性能的影响,以优化其在食品体系中的应用效果。方法 通过选取亚麻籽油(α-亚麻酸)、葵花籽油(亚油酸)和山茶油(油酸)构建乳状液体系,系统分析了粒径分布、ζ电势、微观结构、体外消化稳定性及感官特性。结果 山茶油乳状液比表面积平均粒径最大,亚麻籽油最小且ζ电势绝对值显著更高(P<0.01),其致密界面结构在消化过程中维持更小粒径(P<0.01),对辣椒素保护率最优;感官评价中,亚麻籽油乳状液辣感最强,可能与高不饱和度相关。结论 辣椒素乳状液的稳定性与乳状液油相的不饱和度相关联,高不饱和脂肪酸通过形成黏弹性界面膜增强乳液稳定性,其中不饱和度最高的亚麻籽油乳状液颗粒尺寸最小、分布最均匀,乳化稳定性与辣感释放效果最佳。

      • 0+1
      • 1+1
      • 2+1
      • 3+1
      • 4+1
      • 5+1
      • 6+1
    • 油脂添加量对面团及其发酵特性的影响

      2025, 41(5):50-57. DOI: 10.13652/j.spjx.1003.5788.2024.81112

      摘要 (150) HTML (182) PDF 34.13 K (125) 评论 (0) 收藏

      摘要:目的 研究油脂添加量对不同品质面粉面团特性的影响。方法 以山茶油、黄油为原料,按不同比例(山茶油、黄油质量分数分别为0%,1%,2%,3%,4%)加入面粉中,以未添加油脂的为对照组,利用粉质仪、黏度分析仪、流变仪等分析面团特性。结果 与对照组相比,当油脂添加量为4%时,面团的吸水率和湿面筋含量显著降低(P<0.05),面团的糊化特性和拉伸特性显著改变(P<0.05);当油脂添加量为3%时,面团的形成时间、稳定时间无明显变化,而面团的发酵效果改善明显。结论 添加油脂有利于面筋网络形成及稳定,增强了面团稳定性,延缓了面团老化,明显改善了面团特性,且效果优于黄油组。

      • 0+1
      • 1+1
      • 2+1
      • 3+1
      • 4+1
      • 5+1
      • 6+1
      • 7+1
      • 8+1
      • 9+1
      • 10+1
      • 11+1
    • >安全与检测
    • 低本底α/β测量仪测定食品中铯-137含量的不确定度评定

      2025, 41(5):58-63. DOI: 10.13652/j.spjx.1003.5788.2024.80923

      摘要 (172) HTML (397) PDF 28.64 K (1807) 评论 (0) 收藏

      摘要:目的 提高低本底α/β测量仪测定食品中铯-137含量的测量结果准确性。方法 根据GB 14883.10—2016中第二法建立食品中铯-137测量的不确定分析模型,对影响检测过程的不确定度分量进行分析,探讨不确定度来源,并进行评定。结果 通过对样品测量、监督源测量、样品铯回收率校正、样品取样、样品灰鲜比、标准源校正监督源、自吸收系数校正引入的不确定度分析,得到磷钼酸铵法测定食品中铯-137的活度浓度为1.44 Bq/kg,其扩展不确定度为0.13 Bq/kg(k=2)。结论 影响低本底α/β测量仪测定食品中铯-137测量不确定度的主要因素为样品测量过程引入的不确定度,其次为标准源校正监督源引入的不确定度。

      • 0+1
    • 离子色谱法测定婴幼儿配方乳粉中6种母乳寡聚糖

      2025, 41(5):64-70. DOI: 10.13652/j.spjx.1003.5788.2024.80913

      摘要 (119) HTML (71) PDF 38.57 K (7745) 评论 (0) 收藏

      摘要:目的 建立一种离子色谱同时测定婴幼儿配方乳粉中6种母乳寡聚糖(HMOs)的分析方法。方法 样品经果聚糖酶酶解,以水-0.5 moL/L氢氧化钠-0.3 mol/L乙酸钠为流动相梯度洗脱,Thermo Fisher CarboPacTM PA1 Analytical Column分离柱分离,采用离子色谱—脉冲安培法测定。结果 乳粉中2'-岩藻糖基乳糖(2'-FL)、3-岩藻糖基乳糖(3-FL)、乳糖-N-四糖(LNT)在1~100 mg/L的线性范围内线性良好,乳糖-N-新四糖(LNnT)、3'-唾液酸乳糖(3'-SL)、6'-唾液酸乳糖(6'-SL)在0.5~50.0 mg/L的线性范围内线性良好,相关系数均>0.999。2'-FL、LNnT、3-FL、LNT的检出限为10 mg/100 g,定量限为30 mg/100 g;3'-SL、6'-SL的检出限为5 mg/100 g,定量限为15 mg/100 g。6种HMOs在低、中、高浓度下的平均回收率为98.0%~101.0%,相对标准偏差为0.3%~2.4%。在实际样品检测中,当6种HMOs含量为0.1~10.0 g/kg时,RSD为0.5%~9.4%;当6种HMOs含量为10~100 g/kg时,RSD为1.4%~4.0%。结论 该方法可满足日常检测需求,适用于多种含HMOs婴配乳粉中6种母乳寡聚糖的测定。

      • 0+1
      • 1+1
      • 2+1
      • 3+1
      • 4+1
    • 基于拉曼光谱和时空注意力网络的牛奶掺假检测方法

      2025, 41(5):71-76. DOI: 10.13652/j.spjx.1003.5788.2025.60006

      摘要 (134) HTML (66) PDF 30.99 K (131) 评论 (0) 收藏

      摘要:目的 提高牛奶掺假检测的准确率。方法 提出一种结合拉曼光谱和时空注意力网络的牛奶掺假检测方法,通过拉曼光谱提取分子特征,利用拉曼光谱和时空注意力网络模型提取时序和空间特征,并通过自注意力机制加权重要信息。结果 与现有方法相比,试验方法的牛奶掺假检测准确率平均提升了4.5%,精确度平均提升了约5.8%,召回率平均提升了4.9%,F1分数平均提升了5.4%。结论 试验方法对牛奶掺假检测具有高精度、高鲁棒性、实时检测潜力和可推广性,能够应用于牛奶生产及监管过程中的在线质量监控,并可拓展至其他食品的掺假检测中。

      • 0+1
      • 1+1
      • 2+1
    • >食品装备与智能制造
    • 平磨式留胚碾米机的设计与试验

      2025, 41(5):77-82. DOI: 10.13652/j.spjx.1003.5788.2024.80793

      摘要 (777) HTML (82) PDF 29.54 K (150) 评论 (0) 收藏

      摘要:目的 解决留胚米加工中保留胚芽难度大,营养与感官及适口性兼顾难等问题。方法 提出平磨带主动碾磨与柔性刀组被动碾磨结合的平磨式留胚碾米机设计技术方案,利用米粒在平面内滚动磨削的方式达到精量层层碾磨的目的,采用多道柔性加工与适度碾磨原则相结合的加工方法,以保证高留胚粒率与良好米白度。以东北地区所产粳稻为试验原料,以留胚粒率与米白度作为作业质量指标,进行正交试验。结果 加工留胚米的较佳工艺参数为:平磨线速度8 m/s,刀组橡胶弹簧负荷548.8 N,碾磨次数3,其中第1次碾磨采用180目平磨带,第2和第3次碾磨采用240目平磨带。结论 采用优化工艺加工后成品米留胚粒率达到89.9%,米白度达到40.1%。

      • 0+1
      • 1+1
      • 2+1
      • 3+1
      • 4+1
      • 5+1
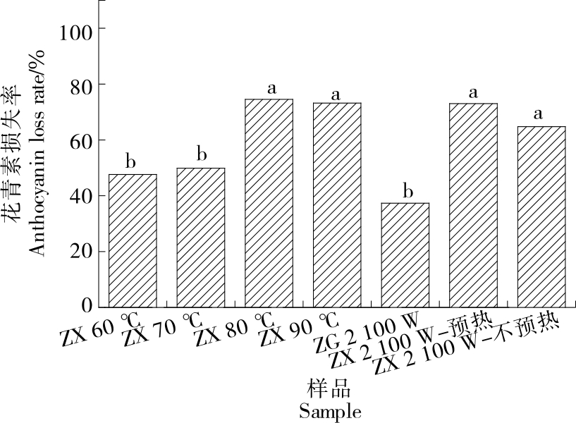
    • 蒸箱蒸制工艺对茄子烹饪品质的影响

      2025, 41(5):83-88. DOI: 10.13652/j.spjx.1003.5788.2024.80968

      摘要 (709) HTML (139) PDF 28.22 K (97) 评论 (0) 收藏

      摘要:目的 围绕食物的颜色特性开展烹饪品质评估。方法 以升温曲线、色泽及花青素含量作为评价指标,探讨蒸制功率、无氧环境、茄子表面温度变化、蒸制容积等对茄子色泽的影响。结果 蒸锅蒸制的茄子色泽明显优于蒸箱蒸制。蒸箱蒸制功率、容积,无氧环境,茄子表皮温度均会影响茄子色泽及花青素损失率;随着蒸箱蒸制功率的增加、蒸制容积的减小,茄子花青素损失率降低,其中蒸箱功率为2 500 W蒸制的花青素损失率最低,为44.27%;蒸制容积为2 L时茄子花青素损失率为21.04%;无氧环境下茄子花青素损失率仅为12.72%;茄子表皮温度在蒸箱蒸制过程中达到80 ℃以上时,花青素损失严重。结论 蒸箱蒸制功率增加、容积缩小,无氧环境均有利于茄子表皮花青素的保留。

      • 0+1
      • 1+1
      • 2+1
      • 3+1
      • 4+1
      • 5+1
      • 6+1
      • 7+1
      • 8+1
    • 基于改进YOLOv11与GWO-ELM的食品生产线黄桃自动分级方法

      2025, 41(5):89-97. DOI: 10.13652/j.spjx.1003.5788.2025.60003

      摘要 (681) HTML (175) PDF 33.22 K (117) 评论 (0) 收藏

      摘要:目的 提高食品生产线黄桃自动分级方法的准确率和效率。方法 在黄桃自动分级系统(机器视觉和高光谱技术)的基础上,提出一种融合改进YOLOv11与改进极限学习机的黄桃品质自动检测方法。外部品质图像通过CMOS传感器相机进行采集,通过改进YOLOv11模型识别缺陷,并结合果型指数与色泽判定外部品质。内部品质则通过高光谱仪采集,经特征筛选后,输入改进灰狼算法优化的极限学习机模型中检测可溶性固形物和硬度指标判定内部品质。结合外部品质和内部品质对黄桃进行分级。通过试验对其性能进行验证。结果 试验方法可以实现食品生产线黄桃内外品质的有效检测,综合内部品质具有较高的分级准确率和效率,分级准确率大于95.00%,平均分级时间小于0.3 s。结论 将机器视觉、高光谱技术以及智能算法相结合,可实现食品品质的快速无损检测。

      • 0+1
      • 1+1
      • 2+1
      • 3+1
      • 4+1
      • 5+1
      • 6+1
      • 7+1
      • 8+1
    • >贮运与保鲜
    • 基于YOLOv8n的猪肉新鲜度图像识别算法

      2025, 41(5):98-104. DOI: 10.13652/j.spjx.1003.5788.2024.80882

      摘要 (154) HTML (171) PDF 29.24 K (127) 评论 (0) 收藏

      摘要:目的 基于计算机视觉技术,实现规模化冷鲜肉产业链中对猪肉新鲜度的准确、快速和无损检测。方法 提出了一种基于YOLOv8n的猪肉新鲜度图像识别算法。利用多种数据增强方法相结合加强对图像中猪肉特征的提取,采用迁移学习的试验方法并选择适配的优化器,改善模型的训练权重,从而提高最终的识别准确率。以YOLOv8n图像识别算法为基础,通过对算法进行数据增强、改善优化器后,构成改进方法后的YOLOv8n-cls模型。结果 迁移学习并改善优化器后的猪肉新鲜度图像识别准确率平均值为99.4%,召回率为83.8%,图像识别的平均计算精度(mAP)为91.4%,图像识别帧率为149 Hz,体现出了良好的试验效果。模型在通过归一化训练和消融试验后的猪肉新鲜度图像识别准确率为99.9%,提高了0.5%。结论 改进方法后的YOLOv8n-cls在保证应有的识别速度的同时提升了图像识别精度,可满足实际生产中猪肉新鲜度实时检测识别的需求。

      • 0+1
      • 1+1
      • 2+1
      • 3+1
      • 4+1
      • 5+1
      • 6+1
    • 柚皮苷—多糖—蛋白复合保鲜膜制备工艺优化及应用

      2025, 41(5):105-113. DOI: 10.13652/j.spjx.1003.5788.2025.80218

      摘要 (923) HTML (78) PDF 37.37 K (148) 评论 (0) 收藏

      摘要:目的 优化柚皮苷—多糖—蛋白复合膜的制备工艺参数,并分析其缓释能力和保鲜效果。方法 以多糖和蛋白质作为复合膜基底,通过透光率、不透明度、水蒸气渗透率(WVP)和氧气渗透率(OP)为考察指标,优化基底材料种类、添加量及其配比。在此基础上,将柚皮苷(1%,3%,5%)加入到基膜中,获得柚皮苷—多糖—蛋白复合膜,并分析复合膜的缓释作用及对龙眼的保鲜效果。结果 当多糖为羧甲基纤维素钠/果胶/壳聚糖(质量比为1∶1∶2),添加量为1.8%;蛋白质为玉米醇溶蛋白,添加量为4%时,制备的复合膜对紫外线、水蒸气、氧气有较好的阻隔能力。膜中的柚皮苷能够发生一定的缓释,有利于复合膜的抗氧化和抗菌作用;且柚皮苷—多糖—蛋白复合膜在一定程度能够降低龙眼的失重率,保持果实的新鲜状态。结论 制备的多糖—蛋白基膜具有良好的物理特性,柚皮苷的加入使复合膜具有作为功能性(抗氧化、抗菌)可食用保鲜膜的潜力。

      • 0+1
      • 1+1
      • 2+1
      • 3+1
      • 4+1
      • 5+1
      • 6+1
      • 7+1
    • 反复冻融对淡水鲢鱼鳔理化特性及品质的影响

      2025, 41(5):114-120. DOI: 10.13652/j.spjx.1003.5788.2024.81040

      摘要 (104) HTML (85) PDF 32.93 K (136) 评论 (0) 收藏

      摘要:目的 研究冻融次数对鲢鱼鳔理化特性及品质的影响。方法 以新鲜鲢鱼鳔为研究对象,分析不同冻融次数下鲢鱼鳔的保水性、色差、质构特性、基本营养成分含量及微观结构的变化趋势。结果 随着冻融次数的增加,鲢鱼鳔的蒸煮涨发率、亮度值、黄度值、硬度、凝聚性、胶黏性、胶原蛋白及总蛋白含量均显著下降(P<0.05),下降幅度分别为45.52%,10.90%,48.99%,47.45%,13.56%,58.04%,10.54%,4.57%,而水分、脂肪与灰分含量下降幅度较低,解冻损失率和颜色红度值均显著上升(P<0.05),上升幅度分别为4.80%,140.72%,鲢鱼鳔的微观结构在反复冻融过程中逐渐解构、恶化。结论 综合冻融过程中的品质恶化程度,≤5次冻融循环可较好地保持鲢鱼鳔的特性及品质价值。

      • 0+1
      • 1+1
      • 2+1
      • 3+1
    • >营养与活性
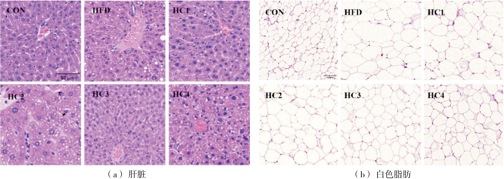
    • 蒸汽爆破燕麦体外消化特性及其对高脂诱导小鼠肥胖的影响

      2025, 41(5):121-126. DOI: 10.13652/j.spjx.1003.5788.2025.80162

      摘要 (96) HTML (87) PDF 26.42 K (130) 评论 (0) 收藏

      摘要:目的 探讨蒸汽爆破预处理对燕麦微观结构、β-葡聚糖含量、淀粉消化特性及其对高脂饮食小鼠肥胖的影响。方法 考察不同压力(0.3,0.5 MPa)和时间(30,60,90 s)的蒸汽爆破处理对燕麦微观结构和β-葡聚糖构成的影响,并模拟高脂饮食环境下蒸汽爆破燕麦的肥胖抑制作用。结果 蒸汽爆破能够破坏燕麦细胞壁有序结构,增加慢消化淀粉含量、水溶性β-葡聚糖含量和溶出率,减少抗性淀粉含量,且与蒸汽爆破强度呈正相关;0.5 MPa下,水溶性β-葡聚糖含量和溶出率最高。蒸汽爆破燕麦干预高脂饮食喂养小鼠,可降低高脂饮食小鼠的体重增长,与HFD相比,体重变化率最高可降低10.5%,并减少肝脏脂肪沉积。结论 蒸汽爆破可优化燕麦微观结构,提高水溶性β-葡聚糖含量,改善淀粉消化特性,并显著抑制高脂饮食诱导的小鼠肥胖。

      • 0+1
      • 1+1
      • 2+1
      • 3+1
    • 湿热处理对红芸豆γ-氨基丁酸积累、多酚含量和抗氧化活性的影响

      2025, 41(5):127-134. DOI: 10.13652/j.spjx.1003.5788.2024.80929

      摘要 (126) HTML (115) PDF 40.57 K (135) 评论 (0) 收藏

      摘要:目的 探究湿热处理对不同品种红芸豆γ-氨基丁酸(GABA)含量的影响,筛选出GABA富集能力最强的红芸豆品种。同时,关注湿热处理后红芸豆酚类含量和抗氧化活性的变化。方法 通过高效液相色谱法测定湿热处理前后红芸豆中GABA的含量,并将GABA积累量与红芸豆中的游离氨基酸含量和GABA关键代谢酶活性进行相关性分析。结果 经湿热处理后,12种红芸豆的GABA含量均得到不同程度的提升,平均含量增加了34.91倍。其中,品金芸3号的GABA含量(108.25 mg/100 g)最高,品金芸1号的GABA含量(64.25 mg/100 g)最低。从GABA支路来看,红芸豆谷氨酸的含量明显降低(P<0.05),谷氨酸脱羧酶(glutamic acid decarboxylase,GAD)的活性明显升高(P<0.05),二者与GABA的积累量显著相关(P<0.05)。在多胺降解途径方面,多胺氧化酶(polyamine oxidase,PAO)和二胺氧化酶(diamine oxidase,DAO)的活性明显升高(P<0.05),但与GABA的积累量无明显相关性。结论 湿热处理下,红芸豆中GABA的积累主要归因于GABA支路。此外,湿热处理可显著提高红芸豆的总酚含量和抗氧化活性,但是黄酮类物质含量则轻微下降。

      • 0+1
      • 1+1
      • 2+1
      • 3+1
      • 4+1
      • 5+1
    • 湿热处理改性小麦粉的热流变特性及其在杂粮饼干中的应用

      2025, 41(5):135-142. DOI: 10.13652/j.spjx.1003.5788.2025.80353

      摘要 (122) HTML (488) PDF 38.12 K (1911) 评论 (0) 收藏

      摘要:目的 开发低负担、高营养的功能性焙烤食品。方法 采用单因素试验设计,运用快速黏度分析仪、流变仪和差示扫描量热仪分析湿热改性小麦粉的理化性质,并以感官评价为标准优化饼干配方。结果 湿热处理可显著提高小麦粉的糊化稳定性和抗消化淀粉含量,最优辅料配方为湿热改性小麦粉50 g、燕麦粉20 g、绿豆粉10 g、抗性糊精粉6 g。与对照组相比,试验配方制作的饼干消化率显著降低,血糖生成指数为69.37,具有良好的低升糖反应特性。结论 湿热改性小麦粉可优化饼干的质构与消化特性,配比燕麦、绿豆粉等富含膳食纤维的杂粮原料,可协同提升焙烤食品的营养价值与健康功效。

      • 0+1
      • 1+1
      • 2+1
    • 冷冻球磨处理对高直链玉米淀粉结构、理化及消化性的影响

      2025, 41(5):143-150. DOI: 10.13652/j.spjx.1003.5788.2024.80576

      摘要 (155) HTML (130) PDF 33.28 K (127) 评论 (0) 收藏

      摘要:目的 探究球磨处理对高直链玉米淀粉结构、理化及消化性的影响。方法 以高直链玉米淀粉(HACS)为研究对象,分析球磨处理时间对高直链玉米淀粉粒径分布、微观结构、结晶结构、短程有序结构、热力学和消化特性的影响。结果 经球磨处理后,淀粉颗粒被破坏,表面变得粗糙并出现团聚现象,颗粒粒径随之增大。随着球磨处理时间的增加,淀粉的结晶度从21.02%下降至0.03%,“马耳他十字”图案逐渐减弱并消失;直链淀粉含量由71.435%增至79.285%,其短程有序性得到提高。在热力学性质方面,球磨处理后,淀粉的热稳定性降低。在消化性方面,球磨处理显著提高了高直链玉米淀粉的消化性。结论 冷冻球磨处理可以改善高直链玉米淀粉的理化性质,提升高直链玉米淀粉的消化性能。

      • 0+1
      • 1+1
      • 2+1
      • 3+1
      • 4+1
      • 5+1
      • 6+1
      • 7+1
    • >开发应用
    • 加工助剂对微波泡沫干燥洋槐蜜品质的影响

      2025, 41(5):151-160. DOI: 10.13652/j.spjx.1003.5788.2024.80782

      摘要 (94) HTML (93) PDF 38.96 K (119) 评论 (0) 收藏

      摘要:目的 应用微波辅助泡沫干燥技术加工洋槐蜜,考察各加工助剂对干燥洋槐蜜品质形成的影响。方法 选择蛋清粉、大豆分离蛋白、麦芽糊精、β-环糊精、可溶性淀粉及羧甲基纤维素钠6种加工助剂,考察各加工助剂对蜂蜜起泡性能、含水率、吸湿性、色泽、溶解性及感官评分的影响,并通过响应面优化试验建立蜂蜜品质控制的回归模型。结果 蛋清粉的泡沫膨胀性及泡沫稳定性优于大豆分离蛋白;麦芽糊精以及蛋清粉的吸湿性能优于其他加工助剂,吸湿性随助剂浓度的增大而减小。当麦芽糊精添加量为10%,蛋清粉添加量为6%,羧甲基纤维素钠添加量为1%时,洋槐蜜的色差最小;麦芽糊精、β-环糊精以及蛋清粉均可以缩短蜂蜜粉的溶解时间;微波泡沫干燥洋槐蜜的最优工艺条件为蛋清粉添加量6.1%,麦芽糊精添加量10.8%,羧甲基纤维素钠添加量1%。结论 合适的加工助剂和适宜的添加量有助于高品质微波泡沫干燥蜂蜜粉的制备。

      • 0+1
      • 1+1
      • 2+1
      • 3+1
      • 4+1
      • 5+1
      • 6+1
      • 7+1
    • 沙丁鱼鱼头蛋白肽脱色工艺优化及其对风味的影响

      2025, 41(5):161-169. DOI: 10.13652/j.spjx.1003.5788.2024.80896

      摘要 (114) HTML (98) PDF 39.42 K (101) 评论 (0) 收藏

      摘要:目的 改善酶法制备的沙丁鱼鱼头蛋白肽的色泽与风味。方法 利用分光光度计测出沙丁鱼鱼头蛋白肽的最佳吸收波长;考察3种脱色剂添加量、脱色时间和温度对沙丁鱼鱼头蛋白肽脱色效果的影响;通过板框过滤放大试验验证脱色剂的脱色及助滤效果。通过电子鼻、电子舌分析沙丁鱼鱼头蛋白肽脱色前后的风味变化。结果 沙丁鱼鱼头蛋白肽液的最佳吸收波长为220 nm;其最佳脱色工艺条件为活性炭添加量1%、脱色时间1 h、脱色温度40 ℃,此条件下运行板框设备对蛋白肽液进行脱色,最终板框脱色后的蛋白肽液脱色率达到36.2%,蛋白损失率为8%;醛类、氯类、胺类与酮类化合物为沙丁鱼鱼头蛋白肽液的主要气味物质;脱色后蛋白肽液中的苦味明显降低;苦味氨基酸比例从72.60%下降至60.04%;肌苷和次黄嘌呤两种苦味核苷酸含量由(24.85±1.14),(10.14±0.77) mg/mL分别降低到(10.66±1.60),(6.90±0.47) mg/mL。结论 使用活性炭脱色过程中苦味氨基酸、苦味核苷酸和醛类物质的含量均有所降低,可以有效改善沙丁鱼鱼头蛋白肽液的风味,增强其鲜味和甜味,同时降低苦味成分含量。

      • 0+1
      • 1+1
      • 2+1
      • 3+1
      • 4+1
      • 5+1
      • 6+1
      • 7+1
      • 8+1
      • 9+1
    • 超声辅助红松籽油酶法脱胶工艺优化及抗氧化活性研究

      2025, 41(5):170-175. DOI: 10.13652/j.spjx.1003.5788.2025.60015

      摘要 (62) HTML (95) PDF 32.32 K (128) 评论 (0) 收藏

      摘要:目的 降低红松籽油中磷含量,开发一种高效的红松籽油脱胶方法。方法 采用超声辅助法,通过正交试验对红松籽油脱胶工艺进行优化,并分析脱胶后红松籽油的脂肪酸组分、含量及抗氧化能力。结果 红松籽油的最佳脱胶工艺条件为超声功率420 W,脱胶温度50 ℃,脱胶时间3.5 h,酶添加量40 mg/kg,pH 4.8,该条件下红松籽油中磷含量为(5.18±0.24) mg/kg,皮诺敛酸占总脂肪酸比例为15.46%。当样品质量浓度为40 mg/mL时,DPPH自由基、ABTS+自由基清除率分别为(91.42±0.38)%,(92.47±0.84)%。结论 通过优化后的超声辅助红松籽油酶法脱胶工艺可获得高质量的红松籽脱胶油,该油具有较好的抗氧化活性。

      • 0+1
      • 1+1
      • 2+1
      • 3+1
      • 4+1
      • 5+1
      • 6+1
    • >研究进展
    • 牛奶脱敏效果评价方法的研究进展

      2025, 41(5):176-183. DOI: 10.13652/j.spjx.1003.5788.2024.80926

      摘要 (95) HTML (73) PDF 59.63 K (97) 评论 (0) 收藏

      摘要:目前食物过敏问题日益严峻,牛奶作为主要过敏原之一,严重影响过敏人群的日常生活。文章从蛋白质结构变化、IgE/IgG结合能力、动物致敏模型、体外消化模型和细胞脱粒测定的角度,综述了近年来评估消减牛奶致敏性方法的研究进展,并展望了未来牛奶脱敏效果评价方法的研究方向。

      • 0+1
      • 1+1
      • 2+1
    • 谷物多酚的提取及在水产品保鲜中的应用

      2025, 41(5):184-197. DOI: 10.13652/j.spjx.1003.5788.2025.80374

      摘要 (85) HTML (160) PDF 132.80 K (128) 评论 (0) 收藏

      摘要:谷物多酚多以游离态或结合态的形式存在,包含酚酸和黄酮两大类,其含量受谷物品种、萌芽情况、加工方式和贮藏条件等因素影响。谷物多酚的提取方法主要有酸法、碱法、酶解法和超临界流体萃取法等。文章围绕影响谷物多酚种类、提取方式及其含量与效价等的因素进行了综述,并对其在水产品保鲜中的应用进行了展望。

      • 0+1
      • 1+1
      • 2+1
      • 3+1
      • 4+1
      • 5+1
      • 6+1
      • 7+1
      • 8+1
      • 9+1
      • 10+1
      • 11+1
      • 12+1
      • 13+1
      • 14+1
      • 15+1
      • 16+1
      • 17+1
      • 18+1
      • 19+1
      • 20+1
      • 21+1
      • 22+1
      • 23+1
      • 24+1
      • 25+1
    • 低共熔溶剂在食用菌多糖提取中的应用研究进展

      2025, 41(5):198-206. DOI: 10.13652/j.spjx.1003.5788.2024.80914

      摘要 (153) HTML (285) PDF 70.10 K (109) 评论 (0) 收藏

      摘要:食用菌中含有的多糖具有免疫调节、抗氧化、抗癌症、调节肠道菌群等生物活性。低共熔溶剂(deep eutectic solvent,DES)提取作为一种新型的多糖提取方法备受关注。文章概述了DES的组成、合成方法和重要性质,对国内外基于DES提取食用菌多糖的研究进行了总结论述,并进一步讨论了DES提取法存在的局限性。

      • 0+1
      • 1+1
      • 2+1
      • 3+1
    • 玉米花丝多糖提取方法及生物活性研究进展

      2025, 41(5):207-215. DOI: 10.13652/j.spjx.1003.5788.2024.80773

      摘要 (137) HTML (124) PDF 75.18 K (109) 评论 (0) 收藏

      摘要:玉米花丝是玉米的干燥花柱和柱头部分,是中国传统的中草药和功能食品原料。多糖作为玉米花丝的主要功能活性成分之一,具有降血糖、降血脂、抗菌消炎等功效。文章对玉米花丝多糖的提取方法和生物活性进行了综述,总结了不同提取方法的工艺参数、优缺点,玉米花丝多糖的生物活性,以及作为研究热点的生物活性作用机制。

    • 喹诺酮类药物免疫检测方法研究进展

      2025, 41(5):216-224. DOI: 10.13652/j.spjx.1003.5788.2024.80944

      摘要 (118) HTML (58) PDF 56.55 K (110) 评论 (0) 收藏

      摘要:喹诺酮类药物(QNs)因其广泛的抗菌作用而备受青睐。QNs在动物饲料中的过度使用可导致其残留物进入食物链中,从而对环境和人类健康造成潜在危害。文章对喹诺酮类药物残留的主要免疫检测技术进行了归纳总结,分析了其优势和应用前景,并对免疫检测技术面临的挑战和未来发展方向进行了探讨。

      • 0+1
      • 1+1
      • 2+1
    • 米面包品质改良研究进展

      2025, 41(5):225-231. DOI: 10.13652/j.spjx.1003.5788.2025.60049

      摘要 (125) HTML (99) PDF 51.05 K (143) 评论 (0) 收藏

      摘要:米面包因其低致敏性和高消化率特性,成为替代传统小麦面包的重要产品。然而,大米的分子特性导致其难以形成类似麸质的连续黏弹网络,受此影响米团的气体截留效率显著降低,大米面包存在风味不足、硬化掉渣和易老化等品质劣变问题。为解决这一问题,国内外学者研究了米面包水分、质构、色泽和风味等方面的变化,并总结了原料筛选及预处理、外源改良以及酸米团发酵技术、冷冻米团技术和烘焙新技术等品质改良方法,为米面包的品质改良和劣变控制提供了试验依据与理论基础。

    • 菊粉对肝损伤的保护作用及其机制研究进展

      2025, 41(5):232-240. DOI: 10.13652/j.spjx.1003.5788.2024.80986

      摘要 (137) HTML (89) PDF 75.15 K (115) 评论 (0) 收藏

      摘要:肝损伤是由一种或者多种因素作用于肝脏,损害肝细胞并造成肝脏病理性改变、血清转氨酶升高等,严重时可能导致肝衰竭和肝性脑病。菊粉是常见的膳食纤维,具有抗炎、抗氧化、抗癌和调节肠道菌群等多种生物活性,这些活性与保护肝脏的健康密切相关。文章综述了菊粉对各类肝损伤的保护作用,总结了菊粉保护肝脏的作用机制,并展望了未来的研究方向。

    • 智能胶辊砻谷机感知监测与品质调控技术研究现状及进展

      2025, 41(5):241-248. DOI: 10.13652/j.spjx.1003.5788.2024.80979

      摘要 (91) HTML (207) PDF 61.58 K (121) 评论 (0) 收藏

      摘要:胶辊砻谷机作为稻谷加工的关键设备,其工艺效果对稻米加工品质、能耗、效率等加工效能指标具有重要影响。随着以智能化为特征的第4次工业革命的深入发展,智能砻谷机的研发成为稻米加工机械发展的必然趋势。文章阐释了砻谷机智能化的基本内涵、技术特征和研究范畴,综述了砻谷机砻谷基础理论、感知监测技术和品质调控技术,分析了砻谷机智能化存在的问题,并就未来努力方向进行了展望。

      • 0+1
      • 1+1
      • 2+1
快速检索
检索项
检索词
卷期检索
×
《食品与机械》
友情提示
友情提示 一、 近日有不少作者反应我刊官网无法打开,是因为我刊网站正在升级,旧网站仍在百度搜索排名前列。请认准《食品与机械》唯一官方网址:http://www.ifoodmm.com/spyjx/home 唯一官方邮箱:foodmm@ifoodmm.com; 联系电话:0731-85258200,希望广大读者和作者仔细甄别。